Physicians
Pioneering Precision in Orthopedic and TBI Diagnostics

Advanced Diagnostics for Better Outcomes
Partner with California’s leading diagnostic experts. We provide high-resolution imaging and specialized interpretations tailored for complex orthopedic injuries and Traumatic Brain Injury (TBI) cases
Providing Quality Diagnostic
We provide your patients with safer, more efficient imaging experiences. By utilizing real-time guidance and state-of-the-art technology, we ensure diagnostic accuracy while minimizing hospital stays and complications
- Minimally Invasive: Specialized procedures designed for outpatient convenience, allowing patients to return to their daily lives faster.
- Expert Interpretations: Board-certified radiologists providing the clarity required for both clinical treatment and medical-legal documentation.
- Patient-Centered Care: Options for high-field strength and Front Open MRI to accommodate patients with claustrophobia or bariatric needs.
NeuroQuant®
Automated Brain Volume Analysis. NeuroQuant® provides FDA-cleared, objective measurements of brain structures. By quantifying volume changes, we help clinicians detect and track early-stage atrophy associated with Alzheimer’s, dementia, and epilepsy.

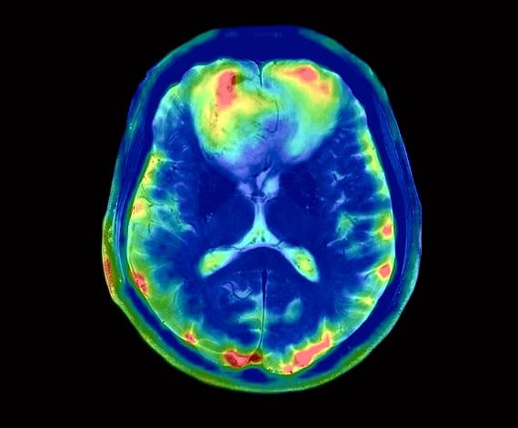
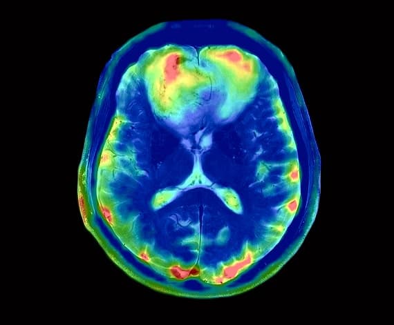
DTI (Diffusion Tensor Imaging)
Visualizing White Matter Integrity. Our DTI technology maps microscopic water movement in the brain to identify axonal shearing and subtle Traumatic Brain Injuries (TBI) that standard MRIs often miss.




Testimonials
Pioneers in Cutting-Edge Imaging for Brain, Neck, Spine Injuries, and Orthopedic Excellence
Ut hendrerit semper vel class aptent taciti sociosqu. Ad litora torquent per conubia nostra inceptos himenaeos. Ut hendrerit semper vel class aptent taciti sociosqu. Ad litora torquent vel class aptent taciti sociosqu.




